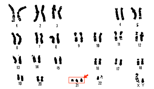
A karyotype is an individual’s complete set of chromosomes. It also refers to a laboratory-produced image of a person’s chromosomes isolated from an individual cell and arranged in numerical order.
Here is a karyotype, or image of the chromosomes, from a person with Down Syndrome, showing the characteristic three copies of chromosome 21:
